01\03\18 AKHILESH KUMAR M\23Y CXR-PA
H\O KHASHI LAST 8 DAYS
--------------------------------------------------------------------------------------------------------------------------
H\O KHASHI LAST 8 DAYS
NAME : AKHILESH KUMAR
AGE
: 23 YRS
REF DR
; DR.
DATE
: 01.03.2018
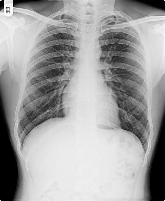
X-RAY CHEST
PA VIEW.
Both
lung fields appears normal.
No
evidence of koch’s lesion or consolidation seen.
Both
apices, cardiophrenic, costophrenic angles and domes of the diaphragm are normal.
The
cardiac size is within normal limit.
Trachea
is central, no mediastinal shift is seen and the mediastinal outlines do not show any
abnormality.
Bony
thorax appear normal
IMPRESSION ;
NORMAL X RAY CHEST .
Thanks for reference
DR.BHAVESH PATEL DR.NIRAV
DESAI DR.DEEPAK SHARMA DR.JIGNESH PATEL
MD, DMRE. MB,DMRD MD(Radio diagnosis) MB,DMRD

No comments:
Post a Comment