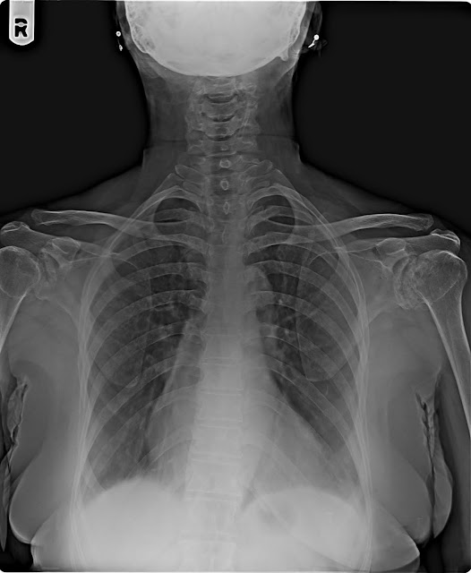
09/06/18 ANANDIBEN PATEL F/65Y CERVICAL-AP/LAT
H/O NECK LT. SHOLDER PAIN LAST ONE MONTH
NAME : ANANDIBEN PATEL
AGE : 65 Years
REF BY : DR.
DATE : 09/06/2018
X-RAY CERVICAL
SPINE AP & LATERAL VIEW
The bone density is normal.
No obvious lytic or sclerotic lesion.
Degenerative changes in form of osteophytes seen in cervical spine.
Evidence of reduction in IV disc space between C3-C4, C4-C5 & C5-C6.
The cervical vertebral bodies and their appendages
(pedicles and spinous process)
are normal.
The intervertebral joints do not show any abnormality.
The cranio vertebral junction is normal.
The spinal alignment
is maintained (with normal lordotic curve and
alignment of the anterior/posterior spinal lines).
Pre and para vertebral soft tissues do not show any
abnormality.
No evidence of bony cervical ribs seen on either side.
Thanks for reference
DR.BHAVESH PATEL
DR.NIRAV DESAI DR.DEEPAK
SHARMA DR.JIGNESH PATEL
MD, DMRE. MB,DMRD MD(Radio diagnosis) MB,DMRD
--------------------------------------------------------------------------------------------------------------------------


No comments:
Post a Comment